About the case
What could be simple about restoring a peg shaped lateral? With 3M™ Filtek™ Easy Match Universal Restorative, it is easy to focus on shape, contour and anatomy, while achieving a natural-looking, aesthetic result – without worrying about multiple layers and shades of composite.

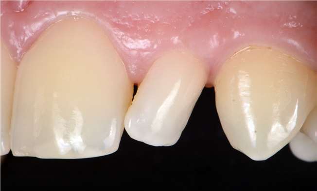
Initial situation

After isolation and retraction, the tooth’s enamel is minimally prepped with a fine diamond bur, to enhance adhesion

The preparation and proximal aspects of the adjacent teeth are etched with phosphoric acid

3M™ Scotchbond™ Universal Plus Adhesive is applied to the prep and adjacent teeth, dried and cured

3M™ Filtek™ Easy Match Universal Restorative is used to contour the distal aspect of the central incisor, as well as the mesial aspect of the canine

An increment of Filtek Easy Match Universal Restorative is placed on the buccal aspect and contoured to provide a scaffold for the mesial and distal contours of the lateral

Using a sectional matrix, the distal wall and contact point with the canine is created

The same procedure is repeated for the mesial aspect of the lateral, ensuring a contact point

After the general contours are defined, and contact points established, the restoration is ready for finishing and polishing

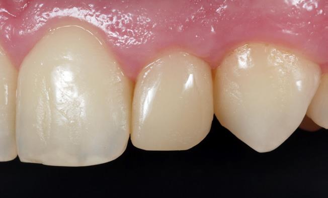
Final appearance, after finishing and polishing, as well as gingival healing
