We love flowable composites because of the ease of placement and the excellent wetting of the tooth with its lower viscosity. We are tormented, however, by the constant threat of bubbles that so often appear as we syringe the material.
Let’s quickly review the current role of flowable composites.When the first dental resin-based composites were first introduced by 3M in 1964, they were thought of as an “amalgam substitute”. In other words, we thought that we needed to place it in little increments and pack it, sculpt it, and carve it like we did with amalgam.
When the first flowable composites were introduced in 1996,1 nobody was quite sure what to do with them, but we could see the definite advantages of an injectable material that instantly wets the tooth structure. What we have learned over time is that the more we manipulate composites, the more problems we can experience. Composite today is moving to being injected with little or no hand manipulation and flowable is an ideal injectable material.
The trouble with bubbles …
The biggest complaint that clinicians report to me regarding flowable composites, is the bubbles that appear during syringing of the flowables. These bubbles in the flowable can be maddeningly difficult to eliminate. The bubbles are difficult to “pop” because of the viscosity of the resin. In desperation we give up on popping them and try to drag them outside of the cavity prep.

Two different flowables have been syringed onto dentoform teeth. Both samples have multiple bubbles. The bubbles in the lighter shade (right) are more difficult to see.
Two times when bubbles are discovered too late …
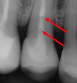
Bubbles visible on radiographs

In follow-up radiographs, two bubbles are visible for this endodontically treated tooth. It is embarrassing and hard to explain to patients. These bubbles drive endodontists crazy.
2. Blemishes on the restoration caused by bubbles
When a bubble leaves a divot on the surface of a composite, blemishes with embarrassing discoloration can occur.

A small bubble in the composite has significant stain that the patient complained about, and in fact was the reason they left their previous dentist.

This bubble in the conservative Class I Fissurotomy preparation is an all too common sight.
Conclusion
There’s a lot to love about flowable composites. They’ve become integral to the modern practice for most restorative dentists. While flowable materials and modern techniques continue to improve, I also see promise in new delivery systems. I’ve been evaluating 3M’s new syringe design for their flowable composites. This new innovative design has the potential to reduce bubbles in our procedures and give dentists more control.
Related 3M products:
For aesthetics, choose 3M™ Filtek™ Supreme Flowable Restorative
• Excellent adaptation, polish retention and wear resistance
• Features 3M’s TRUE nanotechnology
• Class III and V restorations up to 2mm
• Base/liner under direct restorations
For efficiency, use 3M™ Filtek™ Bulk Fill Flowable Restorative
• Excellent adaptation, low shrinkage
• Ideal as a liner, bulk fill base, sealant and more
• Class III and V restorations up to 4mm • Base/liner under direct restorations